Cleveland Clinic Research Logo
Cleveland Clinic Research Logo
  • About
  • Science
    • Laboratories
    • Office of Research Development
    • Clinical & Translational Research
      Participating in Research
    • Departments
      Biomedical Engineering Cancer Biology Cardiovascular & Metabolic Sciences Florida Research & Innovation Center Genomic Medicine Immunotherapy & Precision Immuno-Oncology
      Infection Biology Inflammation & Immunity Neurosciences Ophthalmic Research Quantitative Health Sciences Translational Hematology & Oncology Research
    • Centers & Programs
      Advanced Musculoskeletal Imaging Angiogenesis Center Cardiovascular Diagnostics & Prevention Computational Life Sciences Consortium for Pain Genitourinary Malignancies Research Genome Center
      Microbiome & Human Health Musculoskeletal Research Northern Ohio Alcohol Center Pathogen & Human Health Research Populations Health Research Quantitative Metabolic Research Therapeutics Discovery
  • Core Services
    • Ohio
      3D Printing Bioimage AnalysisBioRobotics & Mechanical Testing Cell Culture Cleveland Clinic BioRepository Computational Oncology Platform Computing Services Discovery Lab Electron Microscopy Electronics Engineering
      Flow CytometryGenomic Medicine Institute Biorepository Genomics Glassware Histology Hybridoma Immunohistochemistry Immunomonitoring Lab Instrument Refurbishing & Repair Laboratory Diagnostic
      Lerner Research Institute BioRepository Light MicroscopyMechanical Prototyping Microbial Culturing & Engineering Microbial Sequencing & Analytics Resources Media Preparation Molecular Biotechnology Nitinol Polymer Proteomics & Metabolomics SomaScan & Biomarker Therapeutics Discovery
    • Florida
      Bioinformatics & Protein Engineering
      Flow Cytometry
      Imaging
  • Education & Training
    • Graduate Programs Molecular Medicine PhD Program Postdoctoral Program
      Global Research Education Research Intensive Summer Experience (RISE) Undergraduate & High School Programs
  • News
  • Careers
    • Faculty Positions Research Associate & Project Staff Postdoctoral Positions Technical & Administrative Engagement
  • Donate
  • Contact
  • About
  • Science
    • Scientific Programs
    • Laboratories
    • Office of Research Development
    • Clinical & Translational Research
      Participating in Research
    • Departments
      Biomedical Engineering Cancer Biology Cardiovascular & Metabolic Sciences Florida Research & Innovation Center Genomic Medicine Immunotherapy & Precision Immuno-Oncology
      Infection Biology Inflammation & Immunity Neurosciences Ophthalmic Research Quantitative Health Sciences Translational Hematology & Oncology Research
    • Centers & Programs
      Advanced Musculoskeletal Imaging Angiogenesis Center Cardiovascular Diagnostics & Prevention Computational Life Sciences Consortium for Pain Genitourinary Malignancies Research Genome Center
      Microbiome & Human Health Musculoskeletal Research Northern Ohio Alcohol Center Pathogen & Human Health Research Populations Health Research Quantitative Metabolic Research Therapeutics Discovery
  • Core Services
    • All Cores
    • Ohio
      3D Printing Bioimage Analysis BioRobotics & Mechanical Testing Cell Culture Cleveland Clinic BioRepository Computational Oncology Platform Computing Services Discovery Lab Electron Microscopy Electronics Engineering >
      Flow CytometryGenomic Medicine Institute BiorepositoryGenomics Glassware Histology Hybridoma Immunohistochemistry Immunomonitoring Lab Instrument Refurbishing & Repair Laboratory Diagnostic
      Lerner Research Institute BioRepository Light MicroscopyMechanical Prototyping Microbial Culturing & Engineering Microbial Sequencing & Analytics Resources Media Preparation Molecular Biotechnology Nitinol Polymer Proteomics & Metabolomics SomaScan & Biomarker Therapeutics Discovery
    • Florida
      Bioinformatics & Protein Engineering
      Flow Cytometry
      Imaging
  • Education & Training
    • Research Education & Training Center
    • Graduate Programs Molecular Medicine PhD Program Postdoctoral Program
      Global Research Education Research Intensive Summer Experience (RISE) Undergraduate & High School Programs
  • News
  • Careers
    • Faculty Positions Research Associate & Project Staff Postdoctoral Positions Technical & AdministrativeEngagement
  • Donate
  • Contact
  • Search

Program of Advanced Musculoskeletal Imaging

Research

Home About Research News Contact
  • Research
  • Projects
  • Pilot Funding
  • Members

Projects

Projects

PAMI is developing novel imaging acquisition and image post-processing techniques and clinical translation to improve patient care. Specifically, we focus on developing rapid, reliable, quantitative imaging techniques that can provide novel imaging biomarkers for early diagnosis and prognosis for musculoskeletal disorders. We are also exploring cutting-edge, deep-learning techniques for fast imaging acquisition, automatic tissue quantification and clinical outcome prediction.

Research Projects

Multi-vendor Multi-site Novel Accelerated MRI Relaxometry

PI: Xiaojuan Li, PhD
Co-Is: Carl Winalski, MD; Kunio Nakamura, PhD; Nancy Obuchowski, MD; Erika Schneider, PhD; Kurt Spindler, MD; Morgan Jones, MD
External Collaborators: Leslie Ying, PhD (New York State Univ. at Buffalo); Peter Hardy, PhD (Univ. of Kentucky); Thomas M. Link, MD; Jing Liu, PhD (UCSF PI); Chris Peng, PhD (Einstein College of Medicine); Kathryn Keenan, PhD (NIST); Elizabeth Mirowski, PhD (Verellium); Ravinder Reddy, PhD (Univ. Penn); Brian Hargreaves, PhD (Stanford Univ)
Funding Sources:Arthritis Foundation; NIH/HIAMS R01 AR077452
Abstract:
MR T1ρ and T2 relaxation times have shown to be promising imaging biomarkers for early cartilage degeneration, and prediction of disease progression. However, many challenges to clinically applying these techniques remain, including lack of standardized acquisition and quantification methods, and long acquisition time. We have implemented MAPSS T1ρ and T2 imaging sequences on three major MR platforms (Siemens, GE and Philips) and have performed multisite multivendor cross validation and reproducibility evaluation, sponsored by the Arthritis Foundation. The next step is to develop fast T1ρ and T2 imaging techniques using novel MRI reconstruction and evaluate the reproducibility and clinical significance of the technique in a multivendor multicenter setting in volunteers and patients with osteoarthritis. A dedicated MSK calibration phantom will be also developed.

Imaging Post-traumatic Osteoarthritis 10 Years after ACL Reconstruction

PIs: Xiaojuan Li, PhD; Kurt Spindler, MD
Co-Investigators: Carl Winalski MD; Faysal Altahawi, MD; Morgan Jones, MD; Nancy Obuchowski, PhD
External Collaborators: Vanderbuilt University: Laura Withrow; Bruce Damon, PhD; Ohio State University: Christopher Kaeding, MD; Michael Knopp, MD, PhD
Funding Source: NIH/NIAMS R01 AR075422
Abstract:
Anterior Cruciate Ligament (ACL) injury is a proven high-risk factor for post-traumatic osteoarthritis (PTOA) development despite ACL reconstruction (ACLR). However, our understanding of PTOA development after ACLR is limited, and reliable biomarkers that provide early diagnosis and prognosis are still lacking. In this study, we will collect quantitative MRI data in the Multicenter Orthopaedic Outcomes Network (MOON) nested cohort at 10 years after ACLR to characterize for the first time long-term structural damage and articular cartilage degeneration after ACLR, understand their patterns and relationship to patient outcomes, and identify modifiable predictors for PTOA at 10 years after ACLR from pre-operative and early postoperative time points. Furthermore, the MRI measures, such as cartilage T1r and T2, at 10 years will also serve as potential predictors for future PTOA development (for those who do not develop PTOA at 10 years), failure of the ACLR graft or contralateral ACL, and additional arthroscopic surgery at the 20 years post-ACLR.

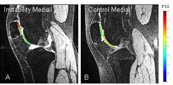
Improving Treatment for Patellar Instability to Reduce Recurrence and Cartilage Degradation

PI: John Elias, PhD
Co-Is: Ceylan Colak, MD; Lutul Farrow, MD; Xiaojuan Li, PhD; Carl Winalski, MD; Mingrui Yang, PhD
Funding Resource: DOD
Abstract:
Lateral patellar instability is a traumatic event that consistently leads to cartilage damage.  Approximately 50% of patients treated for patellar instability develop patellofemoral osteoarthritis (OA) within 25 years, with a higher risk of OA for patients with recurrent instability.  The investigators have initiated this line of research to improve understanding of post-traumatic OA related to patellar instability, identify patients at greatest risk of post-traumatic OA, and optimize treatment methods to reduce the risk of OA. Quantitative MRI, statistical shape modeling and computational models will be used to provide a comprehensive evaluation of the joint structure, tissue composition and functions.

MRI Predictors of Outcome after Arthroscopic Partial Meniscectomy

PI: Naveen Subhas
Co-Is: Joshua Polster, MD; Morgan Jones, MD; Nancy Obuchowski, PhD; Jared Dalton, PhD; Michael Kattan, PhD
Funding Resource: NIH/NIAMS R01 AR073512
Abstract:
Arthroscopic partial meniscectomy (APM) is the most commonly performed ambulatory orthopaedic procedure in the United States, with almost half of these procedures performed in patients over 45 years of age, often with concomitant osteoarthritis.  At present, there is no preoperative tool that is available which can predict the likelihood of having a successful outcome after APM in this patient population.  The objective of this study is to identify the preoperative MRI predictors in patients 45 years old and older who will have no clinically meaningful improvement in PROMs after APM. The tools developed from this study will be useful to reduce unnecessary surgeries and cost to the healthcare system which we plan to test in a future randomized control trial.

Novel MRI Biomarkers for Ankylosing Spondylitis

PI: Xiaojuan Li, PhD
Co-Is: Elaine Husni, MD; Carl Winalski, MD
External Collaborators: UCSF:  Lianne Gensler, MD; Thomas Link, MD; Daria Motamedi, MD
Funding Resource: UCB Pharma
Abstract:
There is a critical and unmet clinical need for non-invasive techniques that provide early diagnosis as well as reliable and sensitive evaluations of ongoing disease activity and treatment response in patients with axial spondyloarthritis (axSpA). Imaging plays a key role to fulfill this goal and there is an increasing trend of applying imaging techniques in the field of axSpA. However, current imaging techniques, including radiographs and MRI, are primarily limited to qualitative or semi-quantitative evaluations of disease activity and structural damage, which is very crude and subjective with considerable inter-reader variation, and has limited sensitivity of detecting early lesions as well as changes in inflammatory lesions after treatment. In this proposal, we will focus on patients with clinically diagnosed active Ankylosing Spondylitis (AS) and will develop novel imaging and image processing techniques using 3 Tesla MRI. The specific aims are two-folds. Firstly, we will develop methods that reliably quantify bone marrow edema (BME), fatty deposition (FD) and erosions; Secondly, we will develop novel quantitative evaluation of perfusion and vascularity of BME (using dynamic Gd-enhanced MRI), which has not been investigated for axSpA in the literature.

Imaging Arthroplasty

PI: Eric Ricchetti, MD
Co-Is: Joseph Iannotti, Carlos Higuera, Wael Barsoum, Peter Evans, Luke Nystrom, George Muschler, Richard Parker, William Seitz, Jonathan Schaffer, Nicolas Piuzzi, Bong-Jae Jun, Ahmet Erdemir, Thomas Daly, Xiaochun (Susan) Zhang, Naveen Subhas, Jarrod Dalton, Vahid Entezari
Abstract:
The Arthroplasty Research program focuses on identifying the demographic, disease-related, and surgical factors associated with short- and longer-term clinical outcomes following joint arthroplasty of the hip, knee, and shoulder, including potentially modifiable factors.Our aim is to improve clinical decision-making, patient selection, clinical outcomes and implant survivorship in total joint arthroplasty through the modification of key demographic, disease-related, and surgical factors,either pre-operatively or through surgical treatment. We have developed and utilize unique research tools to achieve this aim, including synovial fluid biomarker analysis in the setting of periprosthetic joint infection and post-operative three-dimensional CT imaging analysis of implant position over time. Our research program involves collaboration of faculty across orthopaedic surgery, biomedical engineering, radiology, pathology, and biostatistics.

Enhanced CT visualization of pathology

PI: Joshua Polster, MD
Abstract:
We have developed post-processing techniques to enhance detection of bone marrow lesions and also soft tissue lesions using conventional single-energy CT data. For bone marrow lesion detection, a post-processing algorithm was created to enhance the soft tissue components of bone.  The technique has been preliminarily tested in clinical cases of MRI proven, CT-occult bone marrow lesions of the lumbar spine, demonstrating detection of lesions in 8 of 11 CT-occult lesions. For soft tissue lesion detection, a fluid-sensitive look-up table was created to mimic STIR MRI imaging with single-energy CT data.  A steak model has been evaluated with blinded independent reading from 4 musculoskeletal radiologists demonstrating the detectability of injected lesions in skeletal muscle, demonstrating excellent accuracy of lesion detection using this technique.

Software for Practical Annotation and Exchange of Virtual Anatomy

PI: Ahmet Erdemir, PhD
Co-Is: Benjamin Landis (CCF) Kitware: Andinet Enquobahrie, PhD; Sreekanth Arikatla, PhD; Aaron Bray, PhD;  David Thompson, PhD
Funding Resource: NIH/NIBIB R01EB025212
Abstract:
Representation of anatomy in a virtual form is at the foundation of biomedical research – including but not limited to biomedical simulations, and clinical practice. This study aims to support different forms of anatomical representation (and related annotation operations) and commonly used image, geometry, and mesh formats, and to provide capabilities to move between different anatomical representations, e.g., image to geometry or mesh, mesh to image, so on, including transfer of annotation across data types, longitudinal study entries, or cohort members. We anticipate that this study will provide significant utility for management, standardization, curation, and exchange of anatomical data and metadata (including common data elements). In return, it will facilitate physics-based modeling and large scale analysis, e.g., big data analytics, machine learning, which increasingly depend on the harmonization of multiscale anatomical and physiological data

Characterization of Sarcopenia in Heart Failure by T1rho Magnetic Resonance Fingerprinting

PI: Brendan Eck, PhD
Mentors:Xiaojuan Li, PhD (Primary); W. H. Wilson Tang, MD; Srinivasan Dasarathy, MD; Ardeshir Hashmi, MD
Funding Source: NIH/NIA 1K25AG070321
Abstract:
Sarcopenia (muscle degeneration) in heart failure is independently predictive of poor outcomes. Current tools for assessing sarcopenia are indirect or are not sensitive to alterations in skeletal muscle that occur early in disease. Quantitative MRI can provide tissue property measurements that are potentially sensitive to pathological changes in skeletal muscle. However, existing techniques are impracticably slow or not reproducible. MR fingerprinting (MRF) has developed as a rapid, reproducible technique for quantification of multiple tissue properties. Quantitative T1rho, a measure sensitive to alterations in protein content, has only recently been shown to be quantifiable by MRF. This project aims to develop “T1rho-MRF” to simultaneously quantify T1rho and other MRF-derived skeletal muscle properties. Cardiac MRI that includes cardiac T1rho-MRF will also be used to investigate tissue alterations occurring in both skeletal muscle and myocardium in patients with heart failure. In Aim 1, the T1rho-MRF technology will be developed and optimized in simulations, then validated in physical phantoms and in human subjects. Skeletal muscle biopsy will also be acquired and T1rho-MRF will be compared to tissue properties such as fiber type proportion. In Aim 2, control subjects and patients with heart failure (with sarcopenia and without sarcopenia), will be scanned with T1rho-MRF. Quantitative values will be compared between groups to characterize patients with both heart failure and sarcopenia. T1rho-MRF measurements will be correlated with function from grip strength, 6-minute walk, and cardiopulmonary tests.

Automated Arthroscopic Partial Meniscectomy Patient Outcome Prediction using Deep Learning

PI:Mingrui Yang, PhD
Mentors:Xiaojuan Li, PhD; Kurt Spindler, MD; Carl Winalski, MD; Nancy Obuchowski, PhD
Funding Resource:NIH/NIAMS K25AR078928
Abstract:
Arthroscopic partial meniscectomy provides no clinically meaningful benefits for certain patient groups even after physical therapy fails. Preoperative identification of this population can help substantially improve clinical treatment and management plans of these patients by reducing unnecessary surgeries and cost to the healthcare system. The proposed study will provide a novel outcome prediction model to achieve this goal by utilizing imaging findings from a deep learning based automated and consistent system for cartilage and meniscus segmentation and lesion detection on heterogeneous knee MR images collected from clinical routine practice.

Computational Assessment of ACL Function and Quantitative MR Imaging

PI:William Zaylor, PhD
Mentors:Xiaojuan Li , PhD; Jillian Beveridge, PhD
Funding Resource:NIH 5T32AR007505-33
Abstract:
Anterior cruciate ligament (ACL) tears are a common injury among athletes, and patients often desire to return to pre-injury activities following ACL reconstruction surgery. For those that do return, up to 30% will retear their graft or injure their contralateral ACL. Patients generally return to sports between six to nine months following surgery; however, studies have shown that ACL grafts mature throughout the first two post-operative years. The amount and organization of collagen within the ACL graft indicates a more mature ligament and has been shown to impact its biomechanical function. Collagen organization can be noninvasively evaluated using quantitative MR imaging and is thought to be related to biomechanical function. Relating the amount and distribution of organized collagen within healing ACLs or grafts to its functional biomechanics cannot be achieved clinically due to the nature of invasive measures. A computational model that pairs non-invasive estimates of collagen organization with its direct underlying biomechanical measures would provide a means to evaluate the effect of organized collagen distribution on ligament biomechanics non-invasively. The purpose of this project is to build subject-specific computational ACL models to test if, and to what extent, organized collagen distribution affects ligament biomechanical behavior using an established minipig model of ACL surgery. Experimental in vitro test data will be collected to calibrate subject-specific ACL models and validate the model’s strain predictions. The calibrated models will subsequently be used to evaluate the relation between areas of high strain energy during gait and T2* relaxation time distribution. At study completion we will have generated insight into the impact that accounting for organized collagen distribution has on MR T2*-predicted ACL biomechanical behavior and function.


Pilot Projects

Characterization of sarcopenia by magnetic resonance fingerprinting and phosphorous magnetic resonance spectroscopic imaging

PI: Brendan Eck, PhD
Co-Is: Wilson Tang, MD; Deborah Kwoh, MD; Xiaojuan Li, PhD; Michael Forney, MD; Elaine Husni, MD
Funding Resource: PAMI Pilot
Abstract:
Sarcopenia is a common comorbidity and predictor of mortality in heart failure that is characterized by a loss of muscle mass and functional strength. Sarcopenia, in heart failure and other chronic diseases, has been consistently predictive of poor outcomes. However, current tools to identify the presence of sarcopenia, such as functional tests and questionnaires [1], [2], are indirect, non-specific, and not effective until patients have reached an overtly cachectic state and significant muscle deterioration has already occurred. The goal of the proposed research is to develop MRF and 31P-MRS imaging for characterization of skeletal muscle in heart failure patients with sarcopenia.

Investigating MR Biomarkers of Bone Marrow Quality after rotator cuff injury and repair

PIs: Jinjin Ma, PhD; Kathe Derwin, PhD
Co-Is: Joseph Iannotti, MD; Xiaojuan Li, PhD; George Muschler, MD; Eric Ricchetti, MD; Carl Winalski, MD
Funding Resource: PAMI Pilot
Abstract:
Bone marrow connective tissue stem and progenitor cells (CTPs) play essential roles in connective tissue renewal, regeneration and repair. However, non-invasive method for quantifying CTP prevalence in a given individual/anatomic site at the time of clinical decision-making has not yet been established. Our research explores the extent to which the MR technique could be used or adapted for quantifying CTP prevalence in bone marrow. Water-fat MRI and MR spectroscopy will be applied in patients who will have arthroscopic rotator cuff repair (RCR), followed by bone marrow aspiration from their humeral head intra-operatively.

Automated Arthroscopic Partial Meniscectomy Patient Outcome Prediction using Deep Learning

PI: Mingrui Yang, PhD
Co-Is: Ceylan Colak, MD; Morgan Jones, MD; Xiaojuan Li, PhD; Naveen Subhas, MD
Funding Resource: PAMI Pilot
Abstract:
Arthroscopic partial meniscectomy (APM) is one of the most common orthopedic operations performed in the United States. However, no clinical preoperative tool is yet available which can predict the likelihood of having a successful outcome after APM. In this study, we aim to develop an automated system based on machine learning techniques that can segment clinical knee MR images, identify imaging risk factors, and predict APM surgery outcomes.

A Comparative and Correlative Evaluation of Early to Late Stage Osteoarthritis in Human Knee Cartilage utilizing Clinical and Preclinical MRI Imaging (3T & 7T) with Histopathology and Immunohistochemistry as the Standard

PI: Nicolas Piuzzi, MD
Co-Is: Charlie Androjna, PhD; Ceylan Colak, MD; Richard Lartey, PhD; Xiaojuan Li, PhD; Ronald Midura, PhD; Carl Winalski, MD
Resources: PAMI Pilot
Abstract:
This project is a multidisciplinary approach, building upon medical imaging and histopathological analyses for the evaluation/categorization of early to late stage osteoarthritis (OA). It is the goal of the project to further develop clinical imaging methodologies for early detection of OA, such that preventative measures can be taken at early stages of the disease. We integrate clinical 7T and 3T Magnetic Resonance (MR) systems, in vitro preclinical 7T MR, and micro computed tomography (CT) in providing quantitative evaluation of cartilage composition. Additionally histopathological assessment by different techniques including immune-staining will allow in depth characterization of cartilage at different stages of OA.

Improving Treatment for Patellar Instability to Reduce Recurrence and Cartilage Degradation

PI: John Elias, PhD
Co-I: Ceylan Colak, MD; Lutul Farrow, MD; Xiaojuan Li, PhD; Carl Winalski, MD; Mingrui Yang, PhD
Sponsors: PAMI Pilot
Abstract:
Lateral patellar instability is a traumatic event that consistently leads to cartilage damage.  Approximately 50% of patients treated for patellar instability develop patellofemoral osteoarthritis (OA) within 25 years, with a higher risk of OA for patients with recurrent instability.  The investigators have initiated this line of research to improve understanding of post-traumatic OA related to patellar instability, identify patients at greatest risk of post-traumatic OA, and optimize treatment methods to reduce the risk of OA. Quantitative MRI, statistical shape modeling and computational models will be used to provide a comprehensive evaluation of the joint structure, tissue composition and functions.

Optimizing Non-Contrast Magnetic Resonance Imaging (MRI) Sequences for Knee Synovitis

PI: Ceylan Colak, MD and Richard Lartey, PhD
Co-I:Zhenzhou Wu, MD; Carl Winalski, MD; Xiaojuan Li, PhD; Elaine Husni, MD, MPH; Joshua Polster, MD; Michael Forney, MD; MacKenzie Dunlap; Katherine Murphy; Erika Schneider, MD
Funding Resource: PAMI Pilot
Abstract:
Inflammatory arthritis (IA) is a group of diseases that includes rheumatoid arthritis (RA), psoriatic arthritis (PsA), and ankylosing spondylitis (AS). Joints with IA often have proliferative, hyperplastic synovitis that can cause significant cartilage loss, bone erosion that can lead to progressive physical disability. Proliferative synovitis is an important indicator of disease activity since it drives the inflammatory processes. Imaging plays a key role in diagnosis and measurement of disease burden and treatment response. While radiography and ultrasound are very useful, only magnetic resonance imaging (MRI) provides an overview of the entire joint. Currently, intravenous (IV) contrast is used to visualize synovitis on MRI and differentiate it from joint fluid, and dynamic contrast-enhanced (DCE) MRI is considered the imaging gold standard. Non-contrast MRI techniques, e.g. diffusion-weighted MRI, can assess IA synovitis, however they suffer from low spatial resolution limiting their value for small joints such as the wrist. While cartilage and other joint structures have been extensively studied with MR relaxation time mapping, joint fluid, inflammatory synovitis, and other intra-articular tissues have not been investigated intensively. T1 mapping was recently used to delineate knee synovitis in OA patients. However, there are no published T1 or T2 relaxation time maps for synovitis in patients with knee IA. At 1.5T, we developed a semi-automated segmentation method for quantifying inflamed synovitis using DCE MRI. We propose to optimize the acquisition parameters of non-contrast 3D FSE (3D SPACE) for the robust clinical evaluation of inflammatory synovitis.

Characterization of Post-Traumatic Osteoarthritis (PTOA) Following Anterior Cruciate Ligament Reconstruction (ACLR) Using Cone-Beam Computed Tomography (CBCT) Imaging

PI: Bong-Jae Jun, PhD
Funding Resource: PAMI Pilot
Abstract:
Anterior cruciate ligament (ACL) injury is the most common and sever knee injury and associated with long-term clinical sequelae that include meniscal tears, chondral lesions and an increased risk of early onset post-traumatic osteoarthritis (PTOA). Annually, 120,000 to 200,000 ACL reconstructions (ACLRs) are performed in the US alone, with a cost of around 1.7 billion US dollars. Although ACLR is an effective surgical treatment for young patient who has lost the stability and the function of knee joint due to traumatic injury of ACL, a recent meta-analysis study has shown that high prevalence of PTOA following ACLR increased to 11.3%, 20.6%, and 51.6% at 5, 10, and 20 years, respectively. These findings suggest that alterations of joint loading mechanics following ACLR may induce abnormal tissue adaptations and eventually lead to the development of PTOA, highlighting the importance of quantifying the adaptations of bone and muscle tissues following ACLR. However, a lack of non-invasive imaging method to quantify the bone and muscle tissue adaptations prevents a better understanding of the mechanisms of PTOA following ACLR. Currently available, non-invasive evaluation of OA is limited to joint space narrowing by radiographs, which is only manifested at late stages of OA. The use of magnetic resonance (MR) imaging is focused on quantifying structural changes and degeneration of the cartilage and other tissues in the joint. However, its clinical application is currently limited due to the long acquisition time and cost for MR imaging. Computed tomography (CT) imaging has been shown its ability to quantify bone tissue adaptations in terms of bone mineral density (BMD) and trabecular bone architecture, yet, its clinical application is limited due to its high exposure to radiation. Therefore, there is an urgent clinical need to develop a non-invasive biomarker that allows early detection of PTOA by quantitatively characterizing tissue adaptations following ACLR. In this proposed pilot study, we aim to develop non-invasive imaging-based biomarkers to quantify the tissue adaptations following ACLR using a cone-beam computed tomography (CBCT) imaging.

Novel automated lesion segmentation in post-traumatic osteoarthritis using unsupervised deep-learning methods

PI: Sibaji Gaj, PhD
Co-Is: Xiaojuan Li, PhD
Funding Resource: PAMI Pilot
Abstract:
Anterior Cruciate Ligament (ACL) injury is a proven high-risk factor for post-traumatic osteoarthritis (PTOA) development despite ACL reconstruction (ACLR). However, our understanding of PTOA development after ACLR is limited. In literature, few studies have evaluated joints after ACL injury and reconstruction using MRI and compositional MRI techniques, including T1, T2, T2* mapping and dGEMRIC focusing on cartilage and meniscus early degeneration in short/mid-term follow up (< 10 years). However, the long-term degeneration of soft tissue, their relationship to each other, and to patient symptoms and outcomes after ACLR are largely unknown. In this context, bone marrow edema lesions (BMEL) indicates a so-called bone bruise or impression fracture due to translational injury, where the anterolateral femur impacts the posterolateral tibia when the ACL is ruptured. These lesions can be identified on knee MRI as hyper-intense structures in the bone. In OA, few studies had associated the BMEL with the severity and progression OA, and pain in OA. But the association of BMEL with PTOA development in long term follow-up is largely unknown and non-invasive evaluation and monitoring of BMELs and its association with other tissues need to be investigate. Few methodology have been developed for fully automatic quantification of BMEL. To our best knowledge, there is no fully automatic quantification pipeline exists for BMEL segmentation for OA studies. In this proposal, we will look to apply an autoencoder for unsupervised segmenting the BMEL i.e. without any manual segmentation. Then, we will correct these automatic segmentations with minimal manual interventions for more reliable ground truth dataset. Finally, we will use these segmentations for training of a generative adversarial network based supervised deep learning model for fully automatic segmentation of BMEL.

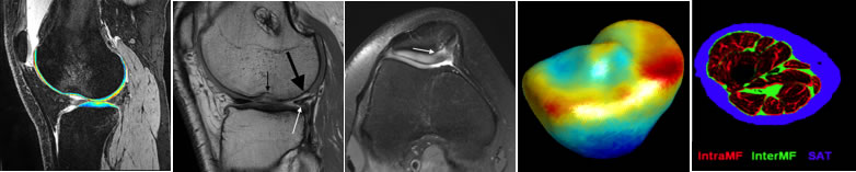
Characterization of Cartilage and Meniscus Degeneration by Morphological and Quantitative Magnetic Resonance Imaging with Ultra-high Spatial Resolution at 7 Tesla

PI: Stefan Zybn, PhD
Co-Is: Xiaojuan Li, PhD; Carl Winalski, MD; Stephen Jones, MD, PhD; Mark Lowe, PhD; Kurt Spindler, MD
Funding Resource: PAMI Pilot
Abstract:
Osteoarthritis (OA) affects over 27 million people in the United States and has been recognized as one of the fastest growing medical conditions worldwide. OA is characterized by significant loss of joint function and impaired quality of life. While cartilage degeneration is a known pathway, there are no disease modifying OA drugs (DMOADs) yet developed despite extensive effort. One hurdle in DMOAD development is the lack of sensitive and reliable non-invasive biomarkers that can detect treatment effects on cartilage health over a short time interval. This proposal offers unique opportunity for the evaluation of early OA changes in the whole knee join with its pathological and physiological relationships at ultra-high spatial resolution. If successful, this work will bridge the gap between histology and clinical MRI. Furthermore, methods developed in this proposal can be applied to study other diseases affecting whole knee joint and help discover subtle pathological changes in relationship to the status of other tissues in the knee joint.

Identifying Factors Contributing to Cartilage Degradation for Adolescents with Patellofemoral Pain

PI: Aaron Lear, DO
Co-Is: Xiaojuan Li, PhD; John Elias, PhD; Lutul Farrow, MD; Carl Winalski, MD
Sponsors: PAMI Pilot
Abstract:
Patellofemoral pain is one of the most common disorders treated by musculoskeletal specialists. Patellofemoral pain is also more consistently associated with lateral maltracking for adolescents than adults, and adolescents return to high levels of activity after treatment. Early recognition is needed to preserve cartilage, with limited treatment options once cartilage loss is measurable. The proposed study is designed to characterize early cartilage degradation following idiopathic onset of patellofemoral pain. The study will focus on adolescents due to the high rate of patellofemoral pain and association with OA. Cartilage degradation will be assessed based on quantitative MRI (elevated T1ρ relaxation times). Factors related to cartilage degradation will include patient demographics (including activity level), pathologic anatomy (statistical shape modeling), patellofemoral alignment (loaded imaging) and inflammatory effects (imaging markers of bone marrow edema-like lesions, effusion, and fat pads). Cartilage degradation will also be related to patient-reported outcome measures to determine if symptoms reflect properties of cartilage.


Novel Technical Development Projects

Accelerated Quantitative Knee MRI using Compressed Sensing and Deep Learning

Investigative Team: Jeehun Kim, MS; Mingrui Yang, PhD; Xiaojuan Li, PhD; Naveen Subhas, MD; Carl Winalski, MD; Joshua Polster, MD
External collaborators: University at Buffalo, The State University of New York: Leslie Ying, PhD, Chaoyi Zhang, Hongyu Li
Abstract:
We have developed algorithms combining an advanced CS based reconstruction technique, LAISD, and an advanced parallel imaging technique, JSENSE, and achieved superior quantitative accuracy for T1ρ quantification with AF up to 4. We will further develop model-based CS techniques to take full advantage of the known quantitative model for T1ρ and T2 decay such that the estimated T1ρ and T2 maps are more robust to noise. We are also working on develop novel MR reconstruction algorithm using deep learning techniques. Compared to CS, one advantage of machine learning methods is the fast image reconstruction. With a 15-layer convolutional neural network (CNN), we have reduced the acquisition time 6 times without significantly affecting the image quality, as well as clinical grading and diagnostic capability. We are currently working on developing DL reconstruction algorithm for cartilage relaxation time quantification, for both mono- and bi-exponential decay components.

Automatic Tissue/Lesion Segmentation Using Deep Learning Techniques

Investigative Team: Sibaji Gaj, PhD; Mingrui Yang, PhD; Kunio Nakamura, PhD; Xiaojuan Li, PhD 
Abstract:
We have developed deep learnings models for knee joint anatomy segmentation on MRIs based on the recent development of the conditional generative adversarial networks (cGAN) and U-Net. Trained and tested on the osteoarthritis initiative (OAI) data, our model is able to perform multi-class segmentation for patellar cartilage, femoral cartilage, lateral/medial tibial cartilage, lateral/medial meniscus simultaneously with superior performance compared to state-of-the-arts models. We will further deploy our automated segmentation model for other knee tissues such as ligaments and bones, and extend to other joints. Furthermore, we will adopt transfer learning for improved model efficiency and accuracy to apply our model to clinical settings with different MRI sequences and platforms (1.5T and 3T). Deep learning models for automatic abnormality detection (for example, bone marrow edema and synovisit) and clinical outcomes prediction will also be developed.

Dynamic 31P MRSI of Muscle at ultra-high field (7 Tesla)

Investigative Team: Xiaojuan Li, PhD, Jeehun Kim
External Collaborators: Xin Yu, PhD, Case Western Reserve University; Zhi-Pei Liang, PhD, University of Illinois
Abstract:
phosphorus-31 (31P) MRSI offers direct, in vivo quantification of high-energy phosphate metabolites such as adenosine triphosphate (ATP) and phosphocreatine (PCr). Of particular interest, monitoring the depletion and resynthesis of PCr during an exercise-recovery protocol by dynamic 31P-MRSI allows the assessment of mitochondrial oxidative capacity (MOC) in skeletal muscle.  However, because of the extremely low concentrations of phosphate metabolites, current 31P-MRSI methods require prohibitively long acquisition time to achieve adequate signal-to-noise ratio (SNR), and hence are not practical for routine clinical use. In this study, we aim to develop and translate fast and high-resolution 31P MRSI at 7 Tesla using a novel subspace-based approach called SPICE (SPectroscopic Imaging by spatiospectral CorrElation). Such techniques will be powerful non-invasive tools for mitochondrial function evaluation.

Ultra-short TE (UTE)/Zero-TE (ZTE) Imaging for Short T2 Tissues

Investigative Team: Zhezhou Wu, PhD; Xiaojuan Li, PhD
External Collaborators: Siemens: Kecheng Liu, PhD; Heiko Meyer, PhD
Many skeletal tissues, including tendon, ligament, meniscus and bone, have very short T2/T2*. UTE/ZTE are emerging techniques for evaluating these tissues. The project aims to develop UTE/ZTE and quantitative UTE techniques to characterize short T2 skeletal tissues at 7T.  Accelerated UTE/ZTE based on compressed sensing or deep-learning reconstruction will be developed, which will be critical for clinical translation of UTE/ZTE techniques.

MSK MR Fingerprinting (MRF)

Investigative Team: Brendan Eck, PhD; Mingrui Yang, PhD; Xiaojuan Li, PhD
External Collaborators: Case Western Reserve University: Mark Griswold, PhD; Dan Ma, PhD
MRF is an emerging technique that allows simultaneous quantification of multiple tissue properties through a new frame of data acquisition (pseudorandomized acquisition with varying acquisition parameters throughout the data collection to general unique signal evolution), post-processing and visualization (pattern recognition to match pre-defined dictionary). This study aims to develop MRF techniques that will be useful for musculoskeletal applications with regard to resolution, fat suppression or fat-water separation, and new contrast that is sensitive to early changes in MSK disorders. The acquisition scheme and parameter map reconstruction will be optimized and evaluated in patients with MSK disorders.

Pilot Funding

Pilot Funding

FUNDING OPPORTUNITY: The Musculoskeletal Research Center’s Pilot Project Program is available to support currently unfunded, novel, particularly innovative, disease-oriented musculoskeletal imaging projects that align with the strategic priorities of Program of Advanced Musculoskeletal Imaging (PAMI). Funding will be available to support projects along the entire continuum of biomedical investigation, including discovery/development, translation, and direct patient-involved research.

AMOUNTS AND DURATION OF FUNDING: Awards up to $25,000 will be available for one-year duration. Up to two Established and two Junior Investigator imaging awards will be given annually. Announcement of funding opportunity will be made to PAMI members via email.

FUNDED PROJECTS

Aaron Lear, MD: "Identifying Factors Contributing to Cartilage Degradation for Adolescents with Patellofemoral Pain" (September 2022)

Saeid Mirzai, DO: "Secondary Sarcopenia from Heart Failure: The Value of Imaging Modalities for its Diagnosis and Rehabilitation for its Management" (September 2022)

Stefan Zybn, PhD: “Characterization of Cartilage and Meniscus Degeneration by Morphological and Quantitative Magnetic Resonance Imaging with Ultra-high Spatial Resolution at 7 Tesla” (Jr Investigator, September 2022)

Sibaji Gaj, PhD: “Novel automated lesion segmentation in post-traumatic osteoarthritis using unsupervised deep-learning methods” (Jr Investigator, March 2022)

Bong-Jae Jun, PhD: “Characterization of Post-Traumatic Osteoarthritis (PTOA) Following Anterior Cruciate Ligament Reconstruction (ACLR) Using Cone-Beam Computed Tomography (CBCT) Imaging” (Jr Investigator, September 2021)

Ceylan Colak, MD and Richard Lartey, PhD: “Optimizing Non-Contrast Magnetic Resonance Imaging (MRI) Sequences for Knee Synovitis” (Jr Investigator, September 2020)

Brendan Eck, PhD: “Characterization of sarcopenia by magnetic resonance fingerprinting and phosphorous magnetic resonance spectroscopic imaging” (Junior Investigator, September 2019)

Jinjin Ma, PhD: “Investigating MR Biomarkers of Bone Marrow Quality in Musculoskeletal Disease” (Junior Investigator, September 2018)

Mingrui Yang, PhD: “Automated Arthroscopic Partial Meniscectomy Patient Outcome Prediction using Deep Learning“ (Junior Investigator, September 2018)

Nicholas Piuzzi, MD: “A Comparative and Correlative Evaluation of Early to Late Stage Osteoarthritis in Human Knee Cartilage utilizing Clinical and Preclinical MRI Imaging (3T & 7T) with Histopathology and Immunohistochemistry as the Standard” (Junior Investigator, March 2018)

John Elias, PhD: “Optimizing Surgical Stabilization for Patellar Instability to Reduce the Risk of Arthritis” (Established Investigator, March 2018)

Members

Members

Biomedical Engineering

  • Charlie Androjna, DEng
  • Robb Colbrunn, DEng
  • Kathleen Derwin, PhD
  • Ahmet Erdemir, PhD
  • Inayat Grewal
  • Daniel Grits
  • Carlos Herrera Martinez
  • William Holden
  • Bong Jae Jun, PhD
  • Jessie Kasper
  • Sameed Khan
  • Jeehun Kim
  • Emily Knott
  • Richard Lartey, PhD
  • Mei Li
  • Xiaojuan Li, PhD
  • Kunio Nakamura, PhD
  • James Peters
  • Erik Pioro
  • Andrew Qi
  • Sambit Sahoo, MD, PhD
  • Ryan Tien
  • Sercan Tosun
  • Ike Vayansky
  • Xinxin Wang
  • Mingrui Yang, PhD
  • Andrew Yu
  • Stefan Zbyn
  • Jiasen Zhang
  • Zhiyuan Zhang

Radiology

  • Fadil Ali
  • Faysal Altahawi, MD
  • Howard (Po-Hao) Chen, MD, MBA
  • Jacqueline Chen, PhD
  • Brendan Eck, PhD
  • Todd Emch
  • Michael Forney, MD
  • Sameer Gadani, MD
  • Stephen Hatem, MD
  • Darlene Holden, MD
  • Hakan Ilaslan, MD, MBA
  • Stephen E. Jones, MD, PhD
  • Vladimir Keep
  • Kihwan Kim
  • Xiaojuan Li, PhD
  • Mark Lowe, PhD
  • Charles Martin III, MD
  • Joshua Polster, MD
  • Jean Schils, MD
  • WanYong Shin, PhD
  • Claus Simpfendorfer, MD
  • Naveen Subhas, MD
  • Carl Winalski, MD

Orthopaedic Surgery

  • Lutul Farrow, MD
  • Joseph Iannotti, MD, PhD
  • Atul Kamath, MD
  • Anthony Miniaci
  • Thomas Mroz, MD
  • George Muschler, MD
  • Eric Ricchetti, MD
  • Kurt Spindler, MD

Inflammation & Immunity

  • Annette Bellar, MSLA

Gastroenterology & Hepatology

  • Srinivasan Dasarathy, MD

Rheumatology and Immunologic Diseases

  • Chad Deal, MD
  • M Elaine Husni, MD, MPH

Nuclear Medicine

  • Frank DiFilippo, PhD

Akron General

  • John Elias, PhD
  • Aaron Lear

Quantitative Health Sciences

  • Nancy Obuchowski, PhD

Spine Health

  • Ghaith Habboub
  • Michael Steinmetz

Internal Medicine

  • Saeid Mirzai

External Collaborators

  • Bruce Damon, PhD, Vanderbilt University
  • Weihong Guo, PhD, Case Western Reserve University
  • Lianne Gensler, MD, University of California, San Francisco
  • Peter Hardy, PhD, University of Kentucky
  • Brian Hargreaves, PhD, Stanford University
  • Cale Jacobs, PhD, University of Kentucky
  • Christopher Kaeding, MD, Ohio State University
  • Galateia Kazakia, PhD, University of California, San Francisco
  • Kathryn Keenan, PhD, NIST
  • Michael Knobb, MD, PhD, Ohio State University
  • Thomas Link, MD, PhD, University of California, San Francisco
  • Jing Liu, PhD, University of California, San Francisco
  • KeCheng Liu, PhD, MBA, Siemens
  • Elizabeth Mirowski, PhD, Verellium
  • Chris Peng, PhD, Albert Einstein College of Medicine
  • Ravinder Reddy, PhD, University of Pennsylvania
  • Michael Samaan, PhD, University of Kentucky
  • Ann Schwartz, PhD, University of California, San Francisco
  • Leslie Ying, PhD, New York State University at Buffalo
  • Xin Yu, PhD, Case Western Reserve University

About Cleveland Clinic Research

About Us Careers Contact Us Donate People Directory

Science

Clinical & Translational Research Core Services Departments, Centers & Programs Laboratories Research News

Education & Training

Graduate Programs Global Research Education Molecular Medicine PhD Program Postdoctoral Program RISE Program Undergraduate & High School Programs

Site Information & Policies

Privacy Policy Search Site Site Map Social Media Policy

9500 Euclid Avenue, Cleveland, Ohio 44195 | © 2025 Cleveland Clinic Research